您好,欢迎访问阜阳兆岐肛肠医院官方网站!我院开设双休日医生坐诊,请提前预约!咨询热线:0558-2589120

阜阳兆岐肛肠医院

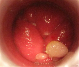
肛乳头瘤
  • 首页
  • >肛周疾病
  • >肛乳头瘤
  • 24小时免费咨询热线:
    0558-2589120

    在线预约在线咨询

    阜阳治肛乳头瘤好的医院

    时间:   在线预约 | 咨询医生   进入医生答疑区

      阜阳治肛乳头瘤好的医院,阜阳肛肠医院医生说,肛乳头瘤是一种良性肿瘤,但是,不及时治疗危害极大,还会恶化,危及患者的生活和工作。建议人们多了解其发病详情,对症防治。下面是阜阳兆岐肛肠医院(原阜阳中西医肛肠医院)医生对肛乳头瘤症状的详细介绍。

    阜阳兆岐肛肠医院

      医生介绍肛乳头瘤的症状:

      一、排便不尽感:当肛乳头受到炎症影响,患者会有排便不尽感,或者伴有异物嵌入肛内的感觉,以及下坠感。

      二、肛门瘙痒:随着肛乳头瘤反复脱出,炎性分泌物刺激肛周皮肤,引起瘙痒或者湿疹。

      三、肛门肿痛:受大便摩擦影响,肛门出现肿痛,尤以乳头瘤脱出不能还纳时疼痛明显。

      那么,人们在生活中要怎么防治肛乳头瘤?

      1、锻炼:积极锻炼身体,增强体质,增进血液循环,加强局部的抗病能力,预防感染。

      2、饮食:避免吃一些刺激性食物,如辛辣。粗细搭配,每天一水果,适当多喝水。

      3、卫生:保持肛门清洁,勤换内裤,坚持每日便后清洗肛门,对预防感染有积极作用。

      4、生活习惯:改正不良的生活习惯,如喝酒,久坐都会刺激。还要改变如厕习惯,尤其是喜欢边上厕所边玩手机的习惯。

      5、防治:积极防治其它肛门疾病,如肛隐窝炎和肛乳头炎,以避免肛周脓肿和肛瘘发生。

      6、防止感染:不要久坐湿地,以免肛门部受凉受湿,引起感染。

      阜阳兆岐肛肠医院采用韩国肛门镜对肛门进行检查,可以对肛肠内部深层病灶部位进行图像采集,实时诊断,让医患清晰、准确、直观地了解病情,帮助患者选择治疗方案,避免因传统人为检查带来不足而造成病情延误。同时可将病灶锁定后打印成像,为治疗前后进行比较提供可靠依据。>>>点击咨询预约<<<

    上一篇:

    下一篇:阜阳肛乳头瘤手术多少钱?

    阜阳兆岐肛肠医院
    阜阳肛肠医院
    阜阳兆岐官方微信

    阜阳兆岐肛肠医院

    门诊时间:8:00-17:30(365天无假日医院)

    医院地址:阜阳经济技术开发区新阳大道12号

    阜阳兆岐肛肠医院 皖ICP备2021004289号-6  医疗广告审查证明文号:阜市医广【2024】第0096号